Virtuelle Fahrt durch den Darm
Blut im Stuhl, krampfartige Bauchschmerzen, Durchfall, Müdigkeit oder unerklärbare Gewichtsabnahme: Bei Verdacht auf Darmtumor stehen ÄrztInnen verschiedene Untersuchungsmöglichkeiten zur Diagnose zur Verfügung. Die virtuelle Koloskopie – auch CT-Kolonographie genannt – ist die derzeit beste radiologische Methode der Darmuntersuchung, um das Innere des Dickdarms samt umliegenden Organen zu untersuchen.
Das Darminnere „lebensecht“ wiedergeben
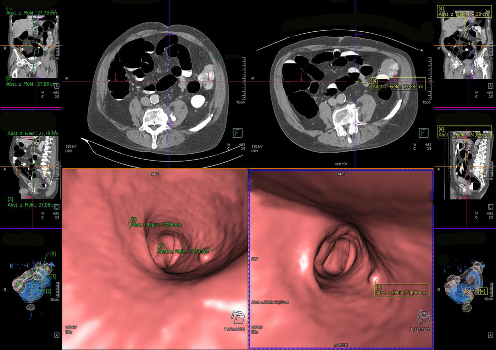
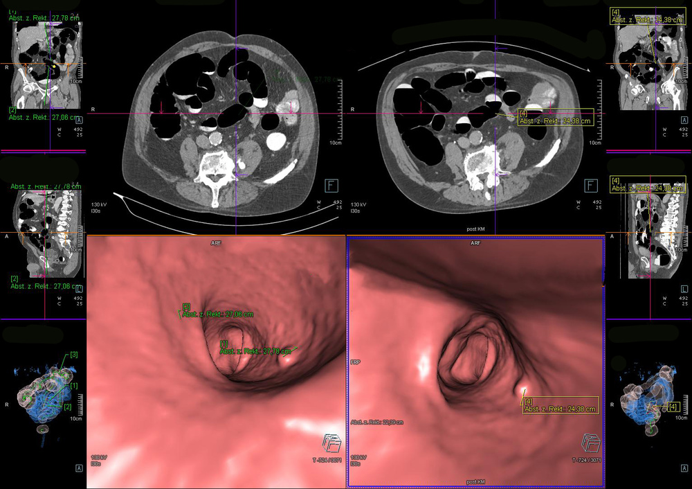
Bei der virtuellen Darmspiegelung erstellen die RadiologInnen mithilfe eines Computertomographen (CT) ein 3-D-Modell vom Darm der PatientInnen. Auf dem Monitor können die RadiologInnen sich dann auf einen virtuellen „Flug“ durch den Darm begeben und die Schleimhautoberfläche von allen Blickwinkeln und -richtungen betrachten. Im Gegensatz zur herkömmlichen Koloskopie kann die virtuelle Koloskopie auch die Darmwand sowie andere Organe des Bauchraumes darstellen.

Abbildung eines 3-D-Modell eines Darmes
Sanfte Darmspiegelung mit dem Computertomographen (CT)
Voraussetzung dafür ist ein hochauflösender Computertomograph. Die CT-Kolonographie eignet sich besonders für PatientInnen, bei denen eine herkömmliche Dickdarmspiegelung nicht möglich ist oder nicht vollständig durchgeführt werden kann. Das kann z. B. bei Engstellen im Darm der Fall sein bzw. bei sehr ängstlichen PatientInnen, die hoch dosierte
blutverdünnende Medikamente einnehmen und wegen der Blutungsgefahr nicht mit einer klassischen Darmspiegelung untersucht werden können. Die Entscheidung darüber, welche Methode zum Einsatz kommt, wird in enger Absprache mit den Gastroenterologen der beiden Krankenhäuser getroffen. Der Vorteil gegenüber der konventionellen Dickdarmspiegelung ist, dass auch andere Organe wie die Leber, die Nieren oder die Bauchspeicheldrüse dargestellt und mituntersucht werden können.
Auch hier gilt: Der Darm muss leer sein
Die Vorbereitungen zur Untersuchung sind ähnlich wie vor einer klassischen Darmspiegelung, wobei die Röntgenuntersuchung des Dickdarms auf drei Schritten beruht. Voraussetzung für eine gute Darstellung des Darms ist eine vorangegangene Darmentleerung und -reinigung. Zu diesem Zweck wird am Tag vor der Untersuchung ein Abführmittel eingenommen, um den Darm zu entleeren. Zusätzlich wird vor der Untersuchung ein Kontrastmittel verabreicht.
Maximale Schonung, kurze Untersuchung und geringere Strahlenbelastung
Um das Innere des Dickdarms von außen begutachten zu können, muss dieser ausreichend entfaltet sein. Dazu wird der Darm in einem zweiten Schritt vorsichtig mit Luft aufgepumpt. Dies erfolgt mit einem dünnen flexiblen Darmrohr, das eingeführt wird.
Im dritten Schritt wird eine Niedrigdosis-Computertomographie des gesamten Bauches inklusive des luftgefüllten Dickdarmes, zuerst in Bauch- und dann in Rückenlage, durchgeführt. Die Untersuchung wird dabei bei möglichst geringer Strahlendosis durchgeführt und dauert fünf bis zehn Minuten.
Grenzen der Behandlung
In 90 Prozent der Fälle entwickelt sich ein Darmkrebs aus zunächst völlig harmlosen kleinen knotenförmigen Wucherungen der Darmschleimhaut, sogenannten Polypen. Nach bisherigen Erkenntnissen ist die CT-Kolonographie genauso zuverlässig wie die herkömmliche Darmspiegelung, um Darmpolypen oder Darmkrebs ab einer Größe von 5 mm aufzuspüren. Allerdings: Darmpolypen können im Zuge der CT-Kolonographie nicht entfernt werden. Bei verdächtigen Veränderungen muss daher in jedem Fall zusätzlich eine normale Darmspiegelung durchgeführt werden.

Prim. Dr. Lackner mit Radiologietechnologin Pipam vor dem hochmodernen Computertomograph.