Seitenbereiche:
  • zum Inhalt [Alt+0]
  • zum Hauptmenü [Alt+1]
  • Patienten & Besucher
    • Service
    • Apotheke
    • Besuchszeiten
    • Genesungswünsche
    • Info ABC
    • Rezeptkärtchen
  • Medizin & Pflege
    • Ambulanzen
    • Anästhesiologie, Intensivmedizin und Schmerztherapie
      • Unser Team
      • Unsere Leistungen
      • Kontakt
    • Augenheilkunde
      • Unser Team
      • Unsere Leistungen
      • Kontakt
    • Chirurgie
      • Unser Team
      • Unsere Leistungen
      • Kontakt
    • Gynäkologie
      • Myomkompetenzzentrum
        • Kontakt
        • Therapie
        • Diagnose
        • Kooperationspartner
      • Unser Team
      • Unsere Leistungen
      • Kontakt
    • Hals-Nasen-Ohrenheilkunde
      • Unser Team
      • Unsere Leistungen
      • Kontakt
    • Innere Medizin I
      • Ambulanzen
      • Unser Team
      • Unsere Leistungen
      • Kontakt
    • Innere Medizin II
      • Unser Team
      • Unsere Leistungen
      • Kontakt
    • Neurologie
      • Schlaganfallzentrum
        • Kontakt
        • Leistungen
        • Kooperationspartner
      • Unser Team
      • Unsere Leistungen
      • Kontakt
    • Radiologie und Nuklearmedizin
      • Unser Team
      • Unsere Leistungen
      • Kontakt
    • Urologie und Andrologie
      • Prostatakrebszentrum
        • Aufklärungsvideo
        • Literatur
        • Kontakt
        • Therapie
        • Diagnose
        • Kooperationspartner
      • Unser Team
      • Unsere Leistungen
      • Kontakt
    • Institute
      • Dialyse-Station
      • Zentral-OP
        • Mehr als ein Job: OP Pflege
      • Physiotherapie
      • Labor
    • Tageskliniken
      • Onkologische Tagesklinik
      • Operative Tagesklinik
    • Roboterchirurgie
    • Pflege
      • Einblicke in die Pflege
  • Beratung & Therapien
    • Physiotherapie
    • Diätologie
    • Ergotherapie
    • Logopädie
    • Myomkompetenzzentrum
    • Palliativer Konsiliardienst
    • Psychologie
    • Schlaflabor
    • Soziale Arbeit
  • Zuweiser:innen
  • Hospitalität
    • Seelsorge
    • Spirituelles Angebot
    • Orden
  • Über uns
    • Hausleitung
    • Strategie
    • Innovationen
    • Karriere & Ausbildung
    • Krankenhaushygiene
    • Patientensicherheit
    • Qualitätsmanagement
    • Umweltmanagement
      • Umwelterklärungen
      • EMAS III
      • Kontakt Umweltmanagement
    • Kooperationspartner
    • Folder und Broschüren
    • Geschichte
    • Presse
      • Medienbereich
    • Benefits
    • Kindergarten
    • Kontakt und Anfahrt
  • Barrierefreiheit
  • Impressum
  • Datenschutz
  • Hinweisgeber
  • Orden
  • Provinzverwaltung
  • International
  • Jobs
Das Bild zeigt das Logo des Krankenhauses Wien der Barmherzigen Brüder.
  • Orden
  • Provinzverwaltung
  • International
  • Jobs
Kontrastfarben
  • Patienten & Besucher
    • Service
    • Apotheke
    • Besuchszeiten
    • Genesungswünsche
    • Info ABC
    • Rezeptkärtchen
  • Medizin & Pflege
    • Ambulanzen
    • Anästhesiologie, Intensivmedizin und Schmerztherapie
      • Unser Team
      • Unsere Leistungen
      • Kontakt
    • Augenheilkunde
      • Unser Team
      • Unsere Leistungen
      • Kontakt
    • Chirurgie
      • Unser Team
      • Unsere Leistungen
      • Kontakt
    • Gynäkologie
      • Myomkompetenzzentrum
        • Kontakt
        • Therapie
        • Diagnose
        • Kooperationspartner
      • Unser Team
      • Unsere Leistungen
      • Kontakt
    • Hals-Nasen-Ohrenheilkunde
      • Unser Team
      • Unsere Leistungen
      • Kontakt
    • Innere Medizin I
      • Ambulanzen
      • Unser Team
      • Unsere Leistungen
      • Kontakt
    • Innere Medizin II
      • Unser Team
      • Unsere Leistungen
      • Kontakt
    • Neurologie
      • Schlaganfallzentrum
        • Kontakt
        • Leistungen
        • Kooperationspartner
      • Unser Team
      • Unsere Leistungen
      • Kontakt
    • Radiologie und Nuklearmedizin
      • Unser Team
      • Unsere Leistungen
      • Kontakt
    • Urologie und Andrologie
      • Prostatakrebszentrum
        • Aufklärungsvideo
        • Literatur
        • Kontakt
        • Therapie
        • Diagnose
        • Kooperationspartner
      • Unser Team
      • Unsere Leistungen
      • Kontakt
    • Institute
      • Dialyse-Station
      • Zentral-OP
        • Mehr als ein Job: OP Pflege
      • Physiotherapie
      • Labor
    • Tageskliniken
      • Onkologische Tagesklinik
      • Operative Tagesklinik
    • Roboterchirurgie
    • Pflege
      • Einblicke in die Pflege
  • Beratung & Therapien
    • Physiotherapie
    • Diätologie
    • Ergotherapie
    • Logopädie
    • Myomkompetenzzentrum
    • Palliativer Konsiliardienst
    • Psychologie
    • Schlaflabor
    • Soziale Arbeit
  • Zuweiser:innen
  • Hospitalität
    • Seelsorge
    • Spirituelles Angebot
    • Orden
  • Über uns
    • Hausleitung
    • Strategie
    • Innovationen
    • Karriere & Ausbildung
    • Krankenhaushygiene
    • Patientensicherheit
    • Qualitätsmanagement
    • Umweltmanagement
      • Umwelterklärungen
      • EMAS III
      • Kontakt Umweltmanagement
    • Kooperationspartner
    • Folder und Broschüren
    • Geschichte
    • Presse
      • Medienbereich
    • Benefits
    • Kindergarten
    • Kontakt und Anfahrt
  • Myomkompetenzzentrum
    • Kontakt
    • Therapie
    • Diagnose
    • Kooperationspartner
  • Unser Team
  • Unsere Leistungen
  • Kontakt
  • Gynäkologie
  • Myomkompetenzzentrum
  • Therapie
Jetzt spenden
Besucher-Infos
Anfahrt
Inhalt:

Medikamentöse und konservative THERAPIEFORMEN


 

Zuwarten / Beobachten

 

Viele Frauen tragen oft mehrere, harmlose Myome in Ihrer Gebärmutter. Die Myome werden zufällig oder im Rahmen einer Routineuntersuchung festgestellt und führen zu keinen Symptomen. Die Erstdiagnose kann auf manche Frauen besorgniserregend und verstörend wirken. Sind sie beschwerdefrei, ist keine Behandlung der gutartigen Myome notwendig. Diese werden einfach regelmäßig beobachtet und kontrolliert. Sollten Sie unter Myom-bedingten Beschwerden leiden, stehen verschiedene Behandlungen zur Auswahl. Für Ihre persönliche Entscheidungsfindung sollten Sie die langfristige Rückgewinnung Ihrer individuellen Lebensqualität berücksichtigen.

 

Myome sind nicht von heute auf morgen gewachsen; deshalb können Sie sich auch für die Therapieentscheidung Zeit lassen. Fragen Sie unsere Gynäkolog:innen und lassen sie sich umfassend informieren.

 

Medikamentöse Therapie

 

Grundsätzlich können myombedingte Beschwerden auf unterschiedliche Art und Weise behandelt werden. Einerseits kann das Wachstum der hormonempfindlichen Myome durch Medikamente gebremst werden. Dazu eignen sich einerseits GnRH-Analoga, welche durch eine Beeinflussung von Hormonrezeptoren einen künstlichen Wechsel bei der Patientin erzeugen. Der Einsatz von GnRH-Analoga ist deshalb zeitlich limitiert.

 

Seit 2012 steht ein Ulipristalaceta zur Verfügung. Es handelt sich hierbei um Selektive Progesteron Rezeptor Modulatoren (SPRMs), welche ihre Wirkung am Progesteronrezeptor entfalten. Ulipristalacetat ist indiziert zur Behandlung mittlerer bis starker Symptome durch Gebärmuttermyome bei erwachsenen Frauen im fortpflanzungsfähigen Alter, für die eine Operation vorgesehen ist. Die Dauer der Behandlung ist auf drei Monate beschränkt. Die Substanz ist unter dem Handelsnamen Esmya® erhältlich.

 

Komplementärmedizinische Ansätze

 

Alternative Heilmethoden, wie chinesische Medizin oder Homöopathie, werden in der Behandlung von Myomen aus Sicht der Gynäkologie als unwirksam eingestuft. Bisher konnten Studien keinen Effekt auf die Myome und insbesondere deren Wachstum nachweisen, vereinzelt wird eine subjektive Symptomlinderung beschrieben.

 

Bei Patientinnen, bei denen die konservative Therapie zu keiner Verkleinerung der Myome und/oder Rückgang der Beschwerden führt, werden verschiedene operative und nicht-operative Behandlungsmethoden angeboten.


 

Minimal invasive (interventionell-radiologische) THERAPIEFORMEN


 

Myomembolisation

 

Die Myomembolisation (UFE) ist eine seit vielen Jahren etablierte, organerhaltende, sichere und wirksame Methode in der Therapie myombedingter Beschwerden. Durch die Therapie werden die Symptome rasch vermindert, die Myome nehmen an Größe ab, in einigen Fällen können sie auch nach einiger Zeit nicht mehr nachweisbar sein.

 

 

Wir führen diesen Eingriff im KH der Barmherzigen Brüder bereits seit vielen Jahren erfolgreich durch und konnten eine hohe Expertise dafür entwicklen.

 

Die Therapieentscheidung wird unter Berücksichtigung des Patientinnenwunsches und in Kenntnis der Therapiealternativen, ihrer Erfolgschancen und Grenzen sowie der typischen Nebenwirkungen und möglichen Komplikationen getroffen.

 

Durchführung des Eingriffes

 

Bei uns wird diese Intervention unter Sedoanalgesie (Tiefschlaf) unter Betreuung durch die Kolleginnen und Kollegen der Anästhesie durchgeführt.

 

 

Unter zusätzlicher lokaler Anästhesie erfolgt eine Punktion in der rechten Leiste mit einer dünnen Nadel. Über diese wird ein Draht eingeführt, der wiederum als Führung für schmale Schläuche (Katheter) verwendet wird. Zuerst wird der Katheter über die Aufzweigung der Beckengefäßen nach links geschoben, dort wird die Schlagader sondiert, die zu den Myomen der Gebärmutter führt.

 

Nach Lagebestätigung durch Kontrastmittelinjektion werden kleine Kunststoffpartikel injiziert, die Durchmesser zwischen 0,7 und 0,9 mm aufweisen.

 

Die durchsichtigen Kunststoffpartikel werden zusammen mit Kontrastmittel vorbereitet und injiziert. Diese werden mit dem Blutstrom in die Myome geschwemmt und verschließen dort die kleinen zuführenden Blutgefäße – dadurch werden die Myome ausgehungert und beginnen zu schrumpfen.

 

Nach Rückzug auf die rechte Seite wird auch die rechte Gebärmutterschlagader sondiert, dort wird die Injektion der Partikel wiederholt.

 

Die Katheter werden danach entfernt, es verbleibt lediglich eine winzige Punktionsstelle ähnlich wie nach einer Blutabnahme. Zur Verhinderung eines Blutergusses wird manchmal ein Verschlusssystem an der Punktionsstelle angewendet, jedenfalls aber wird ein Druckverband für ein paar Stunden angelegt, um Nachblutungen zu vermeiden.

 

Im Aufwachraum erfolgt eine erste Überwachung, anschließend kommen Sie zurück auf die Station. Dort kann anschließend auch bei Bedarf die Schmerztherapie erfolgen.

 

Indikation zur Embolisation, Voraussetzungen

 

Grundvoraussetzung sind symptomatische Myome – d.h. Myome, die Beschwerden verursachen. Voroperationen, vorherige Therapien oder eine vorhergehende medikamentöse Behandlung stellen kein Hindernis für den Eingriff dar.

 

 

Myome in allen Größen können mit der Embolisation behandelt werden. Vor dem Eingriff sind folgende Untersuchungen notwendig:

  • Gynäkologische Untersuchung mit Abstrich des Gebärmutterhalses (nicht älter als ein Jahr)
  • MRT des Unterbauchs – dies kann auch im Rahmen des Erstgespräches im KH durchgeführt werden
  • Ausschluss einer Schwangerschaft und einer akuten Entzündung
  • Laborwerte (Nieren- und Schilddrüsenwerte, Gerinnungsstatus, Blutbild, CRP)

Nicht durchgeführt kann die Embolisation bei folgenden Punkten:

  • V.a. bösartige Tumore
  • Schwangerschaft
  • Akuter Genitalinfekt

Bei folgenden Punkten bestehen sogenannte relative Kontraindikationen – es müssen also Nutzen und Risiko besonders abgewogen werden:

  • Therapie mit GnRH-Analoga (Leuprorelin, Zoladex,…) in den letzten 3 Monaten
  • Isolierte submuköse Myome (Typ 0 oder 1) und isolierte gestielte Myome (Typ 7)
  • Mitversorgung der Myome über die Eierstockarterie
  • Allergien gegen jodhältige Kontrastmittel oder Lokalanästhetika
  • Schilddrüsenüberfunktion, eingeschränkte Nierenfunktion
  • Noch nicht abgeschlossener Kinderwunsch
  • Immunsuppression
  • Bereits abgelaufener Wechsel

Bei noch nicht abgeschlossenem Kinderwunsch hat die Myomembolisation nach derzeitiger Datenlage eine geringere Wahrscheinlichkeit einer erfolgreichen Schwangerschaft als die Myomenukleation – vor allem bei vielen Uterusmyomen (Uterus myomatusus) kann die Embolisation jedoch durch die Verhinderung einer Gebärmutterentfernung (Hysterektomie) die letzte therapeutische Möglichkeit darstellen. Probleme können eine Verminderung der ovariellen Reserve, Störungen der Einnistung der Plazenta und eine erhöhte Fehlgeburtsrate sein.

 

Nebenwirkungen

 

Der Eingriff wird unter Röntgendurchleuchtung durchgeführt, es wird jedoch besonderes Augenmerk auf eine Minimierung der Strahlendosis gelegt, negative Auswirkungen sind dadurch nicht zu erwarten.

 

 

Bei den möglichen Nebenwirkungen handelt es sich unter anderem um folgende:

  • Schmerzen
  • Postembolisationssyndrom (Temperaturanstieg, Schmerzen, Schüttelfrost,…)
  • Vaginaler Ausfluss, Abgang von Myomteilen in den ersten Wochen nach dem Eingriff
  • Entzündungen, Infektionen und folglich ggf. Notwendigkeit einer Entfernung der Gebärmutter
  • Eintritt in den Wechsel (bei Frauen über 45 Jahren in etwa 15%, darunter nur sehr selten)
  • Komplikationen am Gefäßzugang (Bluterguss, Gefäßverletzung)

Nachbetreuung

 

Nach dem Eingriff ist in der Regel eine Schmerztherapie über die Vene (meist als sogenannte Schmerzpumpe) für ein bis zwei Tagen notwendig.

 

 

Vor der Entlassung wird eine Ultraschallkontrolle als Erfolgsbestätigung durchgeführt. Im weiteren Verlauf werden eine Ultraschallkontrolle nach 4 Wochen und eine MRT-Kontrolle (mit Abschlussgespräch) nach 6 Monaten durchgeführt.

 

Erfolgsraten

 

Die technischen Erfolgsraten, also eine Raten einer erfolgreichen Durchführung des Eingriffes, liegen bei etwa 98%. Die Symptome (klinische Erfolgsraten) verbessern sich in etwa 90% der Fälle.

 

 

 

MR-HIFU

 

Bei dieser ebenfalls gebärmuttererhaltenden Therapie wird ein fokussierter Ultraschallimpuls zielgenau auf ein Myom gerichtet und zerstört durch Hitze das Myomgewebe (Thermoablation).

 

Diese in Europa und auch in den USA zugelassene Methode ist seit 2004 im Einsatz. Weltweit wurden bisher tausende Patientinnen behandelt. Dieses Verfahren ist nicht-invasiv, d. h. es erfolgt kein operativer Eingriff mit Hautschnitt. Das im Untersuchungstisch eingebaute Ultraschallgerät (MRgFUS bzw. MR-HIFU) wird von Radiolog:innen gesteuert und über die Magnetresonanztomographie (MRT) ständig überwacht. Der Ultraschall wird gebündelt und erzeugt in diesem Fokus Hitze unter Aussparung des umgebenden Gewebes.

 

Limitierend sind dabei allerdings die Lage und die Größe der Myome:

  • Weit an der Rückseite der Gebärmutter bzw. vor dem Kreuzbein liegende Myome
  • zu große Knoten oder
  • Überlagerungen durch Darm, Harnblase oder andere Gewebe erschweren den Eingriff und führen unter Umständen zu geringeren Erfolgsraten.
  • Auch ist eine Behandlung von mehr als 3 Myomen mittels der HIFU nicht mit ausreichend guten Erfolgsraten vergesellschaftet.

MRT-Gerät mit Patient*in während einer HIFU-Behandlung

MR-Gerät mit Patientenliege, in welcher der HIFU eingebettet ist.
 

Beobachtungsraum während der HIFU-Behandlung

Steuerung und Beobachtung während der HIFU-Behandlung 

 

MR-Kontrolle während HIFU-Behandlung mit gelb eingezeichneten erhitzten Arealen innerhalb des Myoms. Die Behandlung ist organerhaltend, nicht-invasiv, kann allerdings einige Stunden dauern Unter Umständen kann dies ambulant erfolgen. Das Ziel der Methode ist die Beseitigung oder Verminderung Myom-bedingter Beschwerden bei den betroffenen Frauen. Eine vollständige Rückbildung der Myome ist allerdings nicht zu erwarten.

 

Prinzipiell kann die Methode für Frauen im gebärfähigen Alter (18 bis 59 Jahre) vor der Menopause eingesetzt werden. Nach der Therapie wird der Behandlungserfolg mehrfach mit Ultraschall bzw. MRT kontrolliert.

 

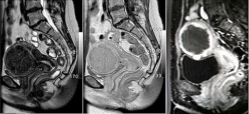
MR-Bilder die ein großes Gebärmuttermyom anzeigen MR-Bilder die ein großes Gebärmuttermyom anzeigen

MR-Bilder vor (linkes und mittleres Bild) zeigt ein großes Gebärmuttermyom. Unmittelbar nach der MR-gesteuerten HIFU-Behandlung (rechtes Bild) ist das Myom zentral nicht mehr durchblutet (dunkel dargestellt)



Operative (gynäkologische) Behandlungsformen


 

Die Gynäkologie hat verschiedene Möglichkeiten, Myome operativ zu behandeln. Bei Patientinnen mit Kinderwunsch oder noch nicht abgeschlossener Familienplanung sollte jedenfalls die Gebärmutter erhalten werden. Dazu eignet sich die organerhaltende Myomentfernung (Myomektomie). Abhängig von Anzahl, Lage und Größe der Myome wird der Zugang über die Scheide (hysteroskopische Myomresektion), durch die Bauchdecke als Bauchspiegelung (Laparoskopie) oder selten über einen offenen Bauchschnitt (Laparotomie) gewählt.

 

Falls die Lage und/oder Anzahl der Myome eine Erhaltung der Gebärmutter nicht erlaubt, kann letztendlich das Organ auf verschiedene Arten operativ entfernt werden (Hysterektomie). Üblicherweise wird die gesamte Gebärmutter entnommen, bei der suprazervikalen Hysterektomie wird nur der Körper der Gebärmutter entfernt, und der Gebärmutterhals verbleibt beim Scheidengewölbe. Alle operativen Methoden werden in Vollnarkose durchgeführt.

 

Welche operativen Möglichkeiten gibt es?

Für die Auswahl der geeigneten Operationsmethode gilt: So viel wie nötig und so wenig wie möglich. Dies bedeutet, dass minimal-invasive und gebärmuttererhaltende operative Eingriffe prinzipiell bevorzugt werden.

Eine gebärmuttererhaltende Myomentfernung kann, je nach Größe, Lokalisation und Anzahl der Myome, laparoskopisch, hysteroskopisch oder mit Bauchschnitt durchgeführt werden.

 

In einem geringen Prozentsatz (ca. 10 %) kann ein Wiederauftreten von Myomen nach einer gebärmuttererhaltenden Operation erfolgen.

 

Radiofrequenzablation von Myomen

Je nach Größe und Lage des gutartigen Myoms kann eine transvaginale Radiofrequenzablation (RFA) des Myoms in Betracht gezogen werden. Bei der RFA-Therapie von Myomen wird eine dünne Elektrode unter Ultraschallkontrolle durch die Scheide in das Myom Gewebe eingeführt und erhitzt. Dadurch schrumpft das Myom und die Symptome werden deutlich reduziert. Das Verfahren wird unter Vollnarkose durchgeführt, dauert in der Regel nur etwa zehn Minuten und erfordert keinen Bauchschnitt. Vor allem aber bleiben die Gebärmutter und ihre Funktion erhalten, so dass ein eventueller Kinderwunsch weiterhin erfüllt werden kann.

 

Laparoskopische Myomausschälung (Enukleation)

Bei der laparoskopischen Myomenukleation handelt es sich um einen minimal-invasiven Eingriff unter Zuhilfenahme der Schlüssellochtechnik (Bauchspiegelung). Die Bauchspiegelung ist eine Methode, bei der die Bauchhöhle mit einer speziellen Optik durch kleine Öffnungen in der Bauchdecke sichtbar gemacht wird. Bei einer laparoskopischen Myomentfernung werden über drei bis vier 0,5-2 cm große Hautschnitte zusätzliche Instrumente eingebracht, mit deren Hilfe die Operation durchgeführt wird.

 

Dieses Verfahren bietet den Vorteil der raschen postoperativen Genesung, verbunden mit einem kurzen stationären Aufenthalt sowie einem geringeren Risiko für postoperative Verwachsungen. Nach dem Eingriff sind im Vergleich zum Bauchschnitt (Laparotomie) geringere Schmerzen zu erwarten.

 

Roboterassistierte Myomenukleation (©DaVinci - Operationsrobotersystem)

Bei großen und/oder tiefliegenden Myomen wird diese Methode angewendet, welche die Vorteile der offenen chirurgischen und laparoskopischen Eingriffe kombiniert. Durch kleine Schnitte können die Myome, wie bei der Laparoskopie, entfernt werden aber die zurückgebliebenen oft großen Wundhöhlen können so präzise wie sonst bei einem Bauchschnitt versorgt werden. Die genaue Wiederherstellung der Gebärmutterwand ist wichtig, um einen eventuellen Gebärmutterriss bei zukünftigen Schwangerschaften zu vermeiden.

 

Hysteroskopische Myomausschälung (Enukleation)

Dieses Verfahren eignet sich für Patientinnen, deren Myome entweder innerhalb der Gebärmutterhöhle oder knapp unterhalb der Gebärmutterschleimhaut liegen. Es wird hier der operative Zugang über die Scheide gewählt, wobei eine spezielle Optik für die Gebärmutterhöhle (Hysteroskop) durch die Scheide eingeführt wird, um die Myome elektrochirurgisch abtragen zu können. Die Voraussetzungen für diesen Eingriff sind, dass die Myome eine bestimmte Größe nicht überschreiten und auch gut zugänglich sind. Auch dieser Eingriff ist ein minimal-invasiver Eingriff und kann meist tagesklinisch durchgeführt werden.

 

Laparotomische Myomausschälung (Enukleation)

In manchen Fällen sind Lage und Größe der Myome derart ungünstig, dass ein Bauchschnitt (eine Laparatomie) durchgeführt werden muss. Dies erfolgt üblicherweise über eine Pfannenstiellaparatomie (der Bauch wird durch einen Querschnitt an der Schamhaargrenze eröffnet) und die Myome können anschließend entfernt werden. Falls Myome die ganze Gebärmutterwand einnehmen oder tief in die Muskultaur eingewachsen sind, wird die Gebärmuttermuskulatur anschließend genäht und adaptiert.

 

Gebärmutterentfernung - wie kann die Gebärmutter entfernt werden?

Es gibt immer wieder klinische Situationen (z.B. sehr rasch wachsende Myome, Verdacht auf bösartige Entartung, sehr große Myome, Wunsch der Patientin etc.), in denen eine Gebärmutterentfernung notwendig ist, wobei auch hier immer mehr minimal-invasive Verfahren (laparoskopische Hysterektomie) angewendet werden. Die Gebärmutter kann über drei verschiedene chirurgische Zugangswege entfernt werden. Die Wahl des Zuganges ist abhängig von der Erkrankung selbst, der Größe und Beweglichkeit der Gebärmutter sowie dem Wunsch der Patientin.

 

Prinzipiell werden je nach operativem Zugangsweg zur Gebärmutter drei Möglichkeiten der Entfernung unterschieden: Die vaginale Hysterektomie, hier erfolgt die Gebärmutterentfernung durch die Scheide, die abdominelle Hysterektomie, wobei der Unterbauch hier über einen Querschnitt eröffnet wird und das laparoskopische bzw. roboterassistierte Verfahren. Die laparoskopische Hysterektomie kann entweder als subtotale (nur der Gebärmutterkörper wird entfernt, der Gebärmutterhals wird belassen) oder totale Hysterektomie (komplette Gebärmutterentfernung) durchgeführt werden.

 

Der Vorteil des endoskopischen Zugangsweges liegt in der schonenden Operationsmethode und der damit verbundenen raschen postoperativen Rekonvaleszenz.

Zurück


Zum Anfang der Seite
  • Patienten & Besucher
  • Medizin & Pflege
  • Beratung & Therapien
  • Zuweiser:innen
  • Hospitalität
  • Über uns
  • Barrierefreiheit
  • Impressum
  • Datenschutz
  • Hinweisgeber
Cookie-Einstellungen