Endovaskuläre Gefäßtherapie
Ein Aneurysma liegt vor, wenn der Durchmesser des Gefäßes um mehr als das 1,5fache erweitert ist. Bei 60% aller Patienten ist die abdominale Aorta betroffen. Männer sind von dieser Erkrankung sechsmal häufiger betroffen als Frauen.
Aneurysmen bergen das Risiko des Einreissens (Ruptur). Dieses Risiko hängt vom Durchmesser des Aneurysmas, sowie von der Wachstumsgeschwindigkeit ab. Eine Aneurysmaruptur stellt eine Notfallindikation dar.
In unserem Krankenhaus wird im Rahmen eines interdiziplinären Aortenboards jeder Fall besprochen und die für den Patienten beste Therapiemöglichkeit ausgewählt.
Die endovaskuläre Aneurysmaausschaltung erfolgt mittels einer Stentgraftprothese.
![]() |
![]() |
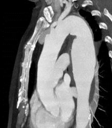
Mit einer über die Leistenregion minimal invasiv eingebrachten Stentgraft – Prothese versorgtes Aneurysma der Hauptschlagader im Brustbereich
![]() |
![]() |
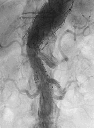
Komplexes Aneurysma der Bauchschlagader: mit einer über die Leistenregion minimal invasiv eingebrachten Stentgraft – Prothese versorgt, zusätzliche Schienung lebenswichtiger Organarterien (Nieren, Darm, Leber etc.) – sog. 4-fach gebranchte Prothese
Dabei handelt es sich zumeist um modulare Prothesensysteme. Hierdurch wird der Gefäßstrom durch die Prothese geleitet und somit das Aneurysma ausgeschaltet.
Minimalinvasive Eingriffe haben den Vorteil einer erniedrigten peri/postoperativen Mortalität, einer deutlich verkürzten Liegedauer und benötigen so gut wie keine rehabilitierenden Maßnahmen, allerdings müssen die Aortenprothesen jährlich mittels CT-Angiographie kontrolliert werden um etwaige Komplikationen (weiteres Aneurysmawachstum, Materialdefekte) frühzeitig zu erkennen und in weiterer Folge auch beheben zu können.
Portfolio
Endovaskuläre Behandlung von Erweiterungen der großen Schlagadern:
-
Thorakale Aortenaneurysmen
-
Abdominelle Aortenaneurysmen
-
Aneurysmen der Beckenarterien
-
Visceralarterienaneurysmen
-
Aneurysmen der Beinarterien
Die Inzidenz für Aneurysmen der großen Gefäße beträgt 40/100 000 Einwohner. Ein Aneurysma liegt vor, wenn der Durchmesser der Aorta auf mehr als 3 cm erweitert ist.
Mittels modernster Stentprothesen werden thorakale und abdominale Aortenaneurysmen minimal-invasiv therapiert.



